
We understand that trips to the dentist can be intimidating, so we’re dedicated to bringing you a dental experience that ignites trust in the ones taking care of your smile. We strive to provide accessible, quality dental care driven by our passion for the Kent and Mt. Kisco communities. We’re a team that’s simply ecstatic to have you around, so come by and give our office a hello!

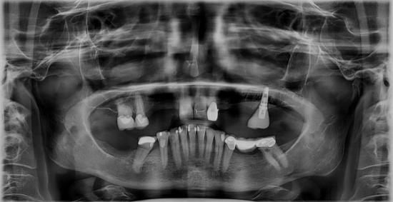
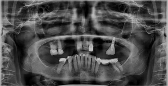
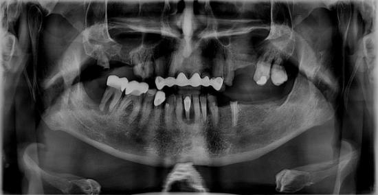
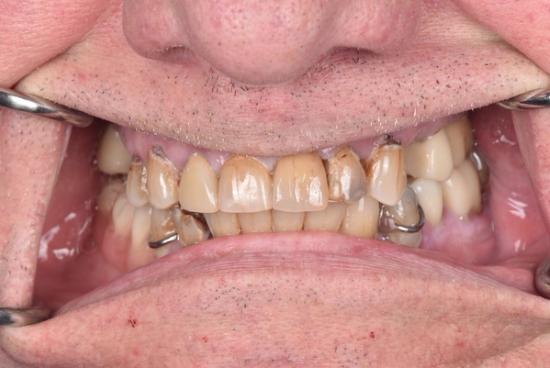
Before Photo

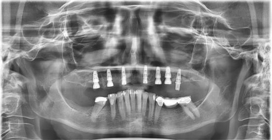
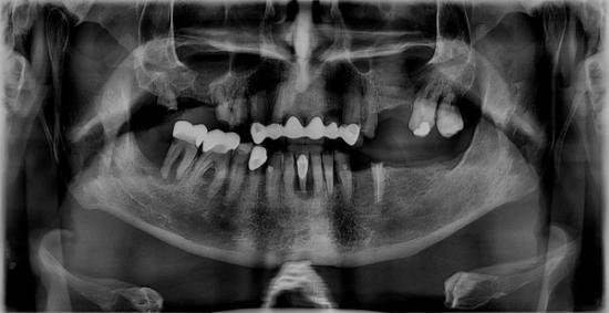
After Photo

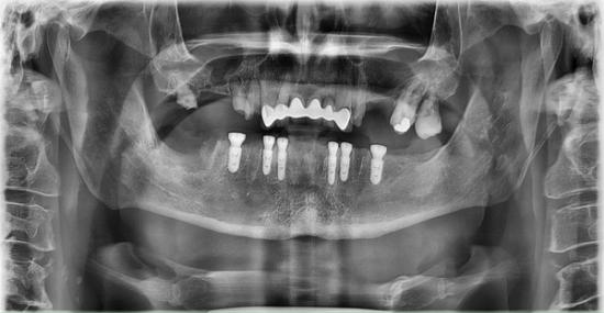
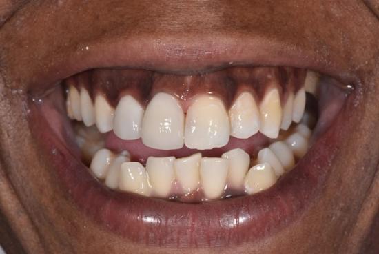
Before Photo

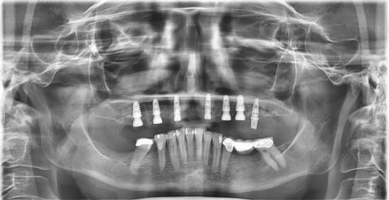
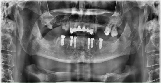
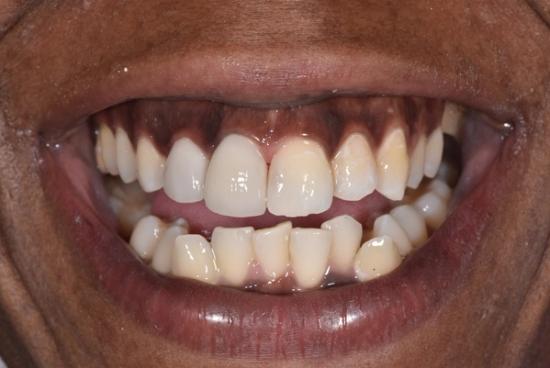
After Photo







